Construido como piezas de LEGO, combina tres tipos de células adultas y reproduce la disposición e interacciones observadas en el cuerpo humano, según los investigadores
Un modelo de hígado humano que reproduce mejor las características de este órgano vital que los modelos previos, tanto animales como organoides, sienta las bases para nuevos tratamientos personalizados: contiene múltiples células que se combinan entre sí en un proceso similar al LEGO.
Un equipo internacional de investigadores liderado desde el Instituto Max Planck, en Alemania, ha desarrollado por primera vez un modelo tridimensional del hígado humano que reproduce la arquitectura y funciones clave del órgano: además, puede construirse con células procedentes del mismo paciente.
Los autores sostienen que este avance abre la puerta a ensayos personalizados, mejores pruebas de toxicidad farmacológica y nuevas vías para terapias regenerativas y de trasplante, de acuerdo a una nota de prensa. El estudio que describe el hallazgo se ha publicado en la revista Nature.
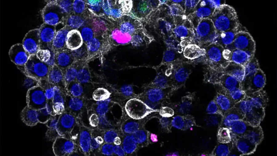
A diferencia de orgánulos previos que contenían una sola población celular, los nuevos modelos combinan tres tipos celulares adultos: fibroblastos portales, colangiocitos y núcleos de hepatocitos, que se autoorganizan en estructuras 3D capaces de reproducir la disposición y las interacciones que se observan en el cuerpo humano.
Por qué este avance podría transformar los trasplantes de hígado
El trabajo se basó en tejido humano donado por 28 pacientes: a partir de esas muestras, los investigadores pudieron expandir hepatocitos en cultivo, crear organoides y ensamblarlos como piezas de LEGO en modelos que mantienen rasgos específicos del paciente.
Estos nuevos modelos muestran funciones hepáticas relevantes, expresan perfiles genéticos similares al tejido nativo y exhiben actividad metabólica y de detoxificación. En experimentos realizados, estos organoides fueron capaces de rescatar las características genéticas de ratones con enfermedad hepática tras su trasplante, sugiriendo un potencial terapéutico real, aunque aún experimental.
Además, los investigadores han creado un «biobanco viviente» de organoides o modelos de hígado, que pueden preservarse por congelación y reactivarse para estudios posteriores. Uno de los usos más prometedores es la modelización de enfermedades hepáticas humanas, que resultan difíciles de reproducir en roedores.
Un hígado humano de laboratorio que promete cambiar los tratamientos hepáticos
El modelo permite inducir y estudiar rasgos de la fibrosis biliar y de estados inflamatorios en condiciones controladas, algo que facilitaría identificar nuevas terapias y probar fármacos en tejidos humanos, pero con la variabilidad genética real de los pacientes.
Los autores subrayan que, al capturar características individuales, la plataforma podría acelerar la medicina personalizada, seleccionando tratamientos según la respuesta del propio tejido del enfermo. Sin embargo, aún existen desafíos a encarar para lograr pasar de una etapa experimental a pruebas clínicas concretas.
Si las limitaciones técnicas se superan, el nuevo modelo podría cambiar radicalmente la forma en que se diseñan terapias para enfermedades hepáticas, reducir la dependencia de modelos animales y, en el mejor de los escenarios, ofrecer soluciones de trasplante más seguras y adaptadas a cada paciente.
Fuente: levante-emv.com

