Colombia
-

Colombia aplaza extracción del galeón San José al tiempo que aparecen nuevas imágenes en 3D [VIDEO]
El 8 de junio de 1708, la flota británica hundió un barco español llamado San José que estaba cargado de innumerables riquezas. Ahora, más de…
-

Colombia: un modelo matemático anticiparía intensidad de un sismo
Profesores de la universidad Nacional desarrollaron un algoritmo capaz de determinar en muy corto tiempo los parámetros principales de un sismo: magnitud y localización, para…
-

Una sola zona a la vez: para rescatar el planeta, podemos empezar por los colibríes
Justo antes del amanecer de una fresca mañana de verano en las alturas de un bosque lluvioso en los Andes occidentales en Colombia, el famoso…
-

De clavadista a inventor: un colombiano se inspiró en su propia enfermedad para combatir el asma
Andrés Guerra es un joven ingenioso y disciplinado. Se puede ver en la forma en la que habla. Mucho de ello tiene que ver con…
-

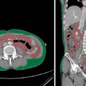
Colombia: logran y patentan dispositivo que segmenta y cuantifica los tejidos corporales
Un dispositivo que segmenta y cuantifica de manera automática los tejidos corporales, denominado CAVAT (Computed Assisted Visceral Adipose Tissue), creado en la Universidad de los…
-

La mayor experta en biodiversidad de Colombia, es una activista transgénero
Bogotá está protegida por los cerros orientales, un pulmón verde de montañas andinas atravesadas por quebradas. En esa tierra de indígenas muiscas fue donde los…




