Ciencia
-

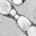
La neurotoxina de unos gusanos marinos con alto potencial médico
El estudio, en el que han participado investigadores del Museo Nacional de Ciencias Naturales (MNCN-CSIC), se ha centrado en la familia de anélidos Glyceridae, unos…
-

Los lugares más sorprendentes donde puedes encontrar el número Pi
Los amantes de los números estarán hoy de enhorabuena. Este 14 de marzo se celebra el día del número Pi (π), esa cifra de valor…
-

¿Por qué una persona logra imitar a la perfección la voz de otra?
Los niños imitan las voces y la forma de hablar de los adultos, además de las palabras que estos utilizan, para aprender a expresarse correctamente…
-

Un magnetar, fuente más probable de las supernovas más luminosas
Astrónomos que estudian la supernova superluminosa Gaia6apd han concluido que está alimentada por un magnetar interno, en parte por el comportamiento de su extraordinaria emisión…
-

Crean el primer cristal del tiempo
Científicos de la Universidad de Maryland han logrado crear un tipo de cristal cuya red atómica se organiza en el tiempo de la misma forma…
-

El uso de cinturones de castidad sería una mentira histórica
La imagen del caballero medieval que parte a las cruzadas y deja atrás a su damisela protegida por un cinturón de castidad es solo una…
-

La NASA publica las primeras imágenes reales del nuevo sistema solar descubierto
Las imágenes parecen sacadas de un videojuego de los años ochenta. Pero han sido captadas por el telescopio espacial Kepler, de la NASA, y tienen…
-

Hallan enterrado en un barrio de El Cairo un coloso que representaría a Ramsés II
Arqueólogos de Egipto y Alemania han hallado una estatua de cuarcita de ocho metros enterrada en un barrio pobre de El Cairo, que probablemente represente…
-

Descubren por qué nos rascamos cuando lo hacen otros
Rascarse, como ocurre con el bostezo, es un comportamiento socialmente contagioso. Cuando vemos a alguien que lo hace es probable que sigamos su ejemplo. No…
-

La NASA halla una nave espacial perdida orbitando la Luna
A veces, como George Clooney en Gravity, las naves espaciales terminan mal y se pierden en esa frontera final que llamamos espacio. La NASA tiene…
